上海抚生实业有限公司品牌商

8

手机商铺

qrcode
商家活跃:
产品热度:
  • NaN
  • 0
  • 0
  • 2
  • 2
品牌商

上海抚生实业有限公司

入驻年限:8

  • 联系人:

    刘小姐

  • 所在地区:

    上海

  • 业务范围:

    细胞库 / 细胞培养、试剂、实验室仪器 / 设备、技术服务、耗材

  • 经营模式:

    生产厂商 经销商 代理商

在线沟通

当前分类:

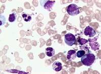
ATCC细胞

搜索到1855条记录

人肾癌Wilms细胞;G401价格

人肾癌Wilms细胞;G401价格

品牌:上海抚生

询价

询价

我的询价